Prophylaxe
Die Wahrheit klingt oft sehr profan: Ein gesunder Zahn muss seltener behandelt werden als ein kranker. Zum langfristigen Erhalt der Zahngesundheit kann jeder durch die Befolgung der nachfolgenden Prophylaxemaßnahmen selbst beitragen.
1. Tägliche Zahnpflege
Die tägliche Zahnpflege sollte selbstverständlich sein. Achten Sie beim Kauf der Zahnpasta darauf, dass diese Flourid und Wirkstoffe gegen Plaquebakterien enthält. Ergänzend zum Zähneputzen sollte Zahnseide oder eine Zahnzwischenraumbürste zur Säuberung verwendet werden, auch die tägliche Anwendung von klinisch erprobten Mundspüllösungen hat sich bewährt.2. Professionelle Zahnreinigung
Wissenschaftlichen Untersuchungen zufolge ist die professionelle Zahnreinigung in der Zahnarztpraxis die ideale Ergänzung zur täglichen Zahnpflege. Sie hilft, wenn sie konsequent und regelmäßig durchgeführt wird, Zähne und Zahnfleisch bis ins hohe Alter gesund zu halten. Oft reicht Zähneputzen nicht aus, um wirklich alle bakteriellen Beläge von den Zähnen und vor allem aus den Zahnzwischenräumen zu entfernen. Die unterstützende Nachsorge ist zudem bei Parodontitis unabdingbar und schützt vor Neuerkrankungen des Zahnhalteapparates.Schritt für Schritt zu gesünderen Zähnen:
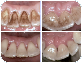
Zu Beginn der professionellen Zahnreinigung werden die harten und weichen Beläge mit einer speziellen Lösung angefärbt, bevor alle Beläge auf den sichtbaren Zahnflächen und in den Zahnzwischenräumen entfernt werden. Auch Verfärbungen durch Kaffee, Tee oder Zigaretten verschwinden durch den Einsatz von Spezialinstrumenten wie dem Airflow. Als nächstes sind die weichen Ablagerungen an der Reihe. Hierzu werden verschiedene Handinstrumente, kleine Bürstchen und Zahnseide benutzt. Weil sich Bakterien zuerst an rauen Stellen und Nischen festsetzen, folgt zur Glättung der Zähne die Politur, ehe die gereinigten Zahnflächen mit einem Flouridlack, der vor Säureattacken der Mundbakterien schützt, überzogen werden.Behandlungsbeispiele:



3. Kontrolluntersunchung
Zur optimalen Vorsorge gehört alle sechs Monate eine Kontrolluntersuchung in unserer Praxis. So können kleinere Schäden an Zähnen und Zahnfleisch frühzeitig erkannt werden. Auch Probleme bei Füllungen und Zahnersatz sowie Veränderungen an der Mundschleimhaut und am Kiefergelenk werden bei der regelmäßigen Untersuchung rechtzeitig erkannt