Zahnerhaltung
Parodontitis und Karies müssen nicht zwangsläufig zum Zahnverlust führen. Durch vorbeugende und therapeutische Maßnahmen ist es heute möglich, seine eigenen Zähne bis ins hohe Alter zu behalten. Zähne werden dabei in ihrer Form und Funktion erhalten oder wieder hergestellt, ohne sie durch künstliche Produkte zu ersetzen.
1. Prophylaktische Maßnahmen
- Bestimmung des Parodontitisrisikos
- Ernährungsberatung
- Flouridierung
- Fissurenversiegelung
- Schonende Zahnreinigung mit Airflow
2. Therapeutische Maßnahmen
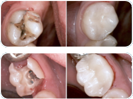
- Zahnsubstanzschonende Füllungstherapie
- Hochwertige, ästhetische Kunststofffüllungstherapie
- Amalgamfreie Füllungstherapie
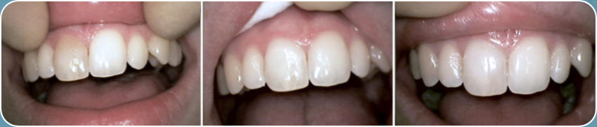
- Schonendes Bleichen von verfärbten Zähnen (Bleaching)
- Moderne und hochwertige Wurzelkanalbehandlung (Endodontie)
- Chirurgische Zahnerhaltung
Behandlungsbeispiele (vorher/nachher):



Beispiele Zahn-Internes Bleaching:
